毫米机器人脑内给药获得2000万美元融资!临床实践最早将
电影《神奇旅程》里,几个医生缩小到微生物大小,开着飞船进入一个科学家的大脑,做完血管手术后迅速撤离。五年前,技术企业家MichaelShpigelmacher看了这部电影,想把它付诸实践。
美国治疗中枢神经系统疾病的初创公司BionautLabs最近浮出水面。该公司正在开发一种毫米机器人,可以用来运送药物,并通过遥控将机器人引导到患处和卸载药物。目前,这项技术已经在动物身上进行了测试,并将在未来用于人类疾病的治疗。BionautLabs宣布已获得2000万美元的一轮融资。值得注意的是,这一轮融资是由硅谷著名的科技风险投资机构KhoslaVentures牵头的。
BionautLabs的创始人兼CEO是上面提到的MichaelShpigelmacher。BionautLabs精确给药的微型遥控机器人项目早在2016年就开始了,但当时Shpigelmacher和他的伙伴们“自己掏钱”。获得科斯拉风险投资公司的支持对史匹格尔马切来说意义重大。Shpigelmacher表示,Bionaut机器人的给药技术最早将于2023年投入临床试验。
在成立BionautLabs之前,Shpigelmacher的工作经历大多与技术及其投资有关。他在麦肯锡和摩根士丹利工作,专注于投资策略相关业务。更早的时候,他为3D传感初创公司Shpigelmacher的成立做出了重要贡献,后来被苹果收购。
精准送药,直达病灶
早在20世纪中期,著名物理学家费曼就提出了分子机器的思想,预言在未来,只要将纳米机器人置入人体血液中,就能自动到达手术和治病的焦点。
如今,基于细胞的药物输送和治疗微型机器人已经成为一种有前途的体内靶向运输工具,许多初创企业应运而生。MichaelShpigelmacher表示,其药物输送技术Bionaut听起来类似于RaniTherapeutics和其他初创公司开发的“机器人药丸”,但有很大差异。
“机器人药丸”主要用于静脉注射替代药物,所以这些“药丸”只需要到达肠道,然后就需要随着血液到达病灶。目前,雷尼替丁已经将雷尼替丁胶囊技术应用于各种药物的开发。如果临床研究成功,这种“机器人药丸”最早将于2022年问世。
而Bionaut则更倾向于针对不同的疾病和受损组织定制合适大小(100nm-1mm)、形状甚至表面特征的微型遥控机器人,通过遥控将装载有有效载荷的机器人精确引导到患处,控制机器人释放药物。这样,足够量的合适药物可以直接输送到正确的位置。
相比之下,当药物被输送到肠道,然后通过血液扩散时,不仅需要更大剂量的药物,而且干扰其他细胞的风险也更高。
更重要的是,不仅是药物的精确输送,遥控微型机器人也有潜力用于微创“手术”,可以深入大脑,为解决中枢神经系统疾病提供新的解决方案。
以亨廷顿氏病(HD)为例。目前,该病有一些潜在的药物治疗方案,但安全有效地为患者中脑提供足够剂量的治疗药物是至关重要的一步。Bionaut微型机器人正好可以发挥“微型药物信使”的作用,安全准确地通过脑脊液、脑组织等“障碍物”,突破神经系统疾病治疗的局限。
如果这项技术能够在未来的临床中得到应用,不仅可以提高疾病的疗效,还可以为药物开发开辟一个更加宽松的环境。Shpigelmacher在采访中还提到,拓宽药物开发的治疗窗口(或“治疗范围”)是Bionaut的目标之一。
“治疗窗”是指作用于疾病的药物的浓度范围。药物浓度过低,不会产生治疗效果,浓度过高,则会产生无法忍受的毒性。因此,对于大多数药物,开发人员必须平衡药物分子,降低杀死肿瘤和伤害其他细胞的可能性。两者的平衡无疑增加了药物开发的难度,但如果药物可以直接输送到病变部位,那么在药物开发过程中就少了很多顾虑。
从亨廷顿病和神经胶质瘤开刀
根据公司的计划,Bionaut的临床试验将尽快在2023年开始,其首个试验项目计划针对一种儿童常见的脑干胶质瘤。
Shpigelmacher提到,选择从这种疾病入手,是考虑到这种疾病会对患者造成很大的影响,但仍然没有有效的治疗方案;此外,许多公司在药物输送方面失败,大多数是因为它们在治疗大脑或大脑的一部分方面效果有限。
他补充说,“我不想从一个听起来风险太大或未经测试的概念开始实验。”此前,该公司已利用该技术成功地将治疗药物直接输送到植入小鼠体内的人类脑干胶质瘤,并消除了这些肿瘤的毒性。一旦Bionaut能够成功完成这个任务,就可以证明这个方法在大多数情况下是可行的
是行得通的。具体而言,该公司会在其首次临床试验中把装载着治疗药物的微型机器人注射到脊柱中,并使用一组位于头部和颈部周围的磁铁产生的磁场将机器人引导进入脑部患病区域。在到达正确的位置后,另一个磁信号将激活机器人药物舱的开关,释放药物。药物卸载后,医生再引导机器人返回至起始点,将其从脊柱处接离。

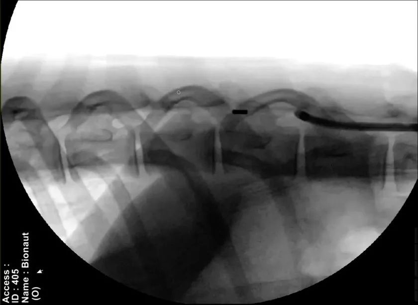
图|Bionaut微型机器人进入活羊的蛛网膜下腔(来源:BionautLabs官网)
Shpigelmacher进一步解释道,目前的技术已经允许机器人制造得足够小,但为了确保其能够在X光下实时清晰可见、方便追踪和操控,Bionaut将微型机器人的大小尽可能保持在1毫米左右。
目前,Bionaut的微型遥控机器人项目还处于初期阶段。不过KhoslaVentures创始人VinodKhosla认为,作为一种针对脑部严重疾病的靶向治疗新方式Bionauts有着巨大的前景,同时Bionaut也具备应用于常规治疗无效或效果甚微的疾病中的潜力。
编辑:jq
延伸 · 阅读
- 2021-03-12 16:48车桩比缺口大,新基建加速充电桩落地!
- 2021-03-12 16:48IP地址实现HTTPS访问:如何获取可信的SSL证书
- 2021-03-12 16:48晶圆制造的代工成本再次上升
- 2021-03-12 16:48安全芯片涨价50%!海斯退赛 10多家厂商挤进赛道!
- 2021-03-12 16:48年度参测数据中心PUE平均值
- 2021-03-12 16:48惯性定位导航系统实现自动驾驶汽车













